Otherwise know as "ankle arthroplasty," ankle replacement surgery is a technique that has developed in recent years in response to the need to effectively improve an ankle joint that has been severely damaged by injury or some form of arthritis. When other, more conservative methods of treating disabilities in the ankle have proven inadequate, joint replacement surgery may represent the best hope for long-term improvement to the ankle joint.
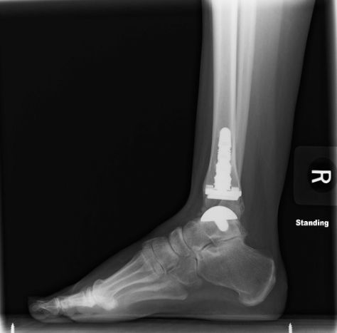
Both sides of the ankle are removed and replaced with specially designed artificial parts, called prostheses. The tibial prosthesis is made of medical- grade plastic with a titanium base plate tray that is inserted into the tibia and fibula. The talar component of the joint, the part that moves up and down, is replaced with a part made of cobalt chromium alloy, a metal commonly used in prostheses for other joints of the body also.











